登入
賴錫鉅醫師 的 部落格
跳到主文
歡迎光臨 賴錫鉅醫師 在痞客邦的小天地
部落格全站分類:
醫療保健
相簿
部落格
留言
名片
1月
09
週一
2023
21:37
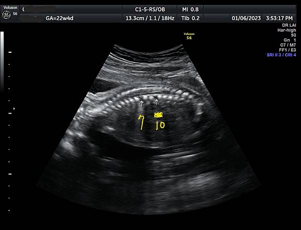
孕兒診所賴錫鉅醫師 394《用生命影響生命》: 產前診斷蝴蝶椎案例分享
394
《用生命影響生命》
產前診斷蝴蝶椎案例分享
(繼續閱讀...)
文章標籤
賴錫鉅醫師 發表在
痞客邦
留言
(0)
人氣(
540
)
1
個人資訊
暱稱:
賴錫鉅醫師
分類:
醫療保健
好友:
累積中
地區:
熱門文章
(125,103)
孕兒診所賴錫鉅醫師 99 目錄 (一位婦產科醫師的筆記)
(29,257)
孕兒診所賴錫鉅醫師 20 小腦(小頭)症的診斷 - II
(9,615)
孕兒診所賴錫鉅醫師 11 難忘的週日
(7,776)
孕兒診所賴錫鉅醫師 98 分類目錄
(3,359)
孕兒診所賴錫鉅醫師 428 2024母親節感言 : 你們有什麼不一樣?
(3,203)
孕兒診所賴錫鉅醫師 261 產前診斷小耳症案例分享 ,「接受他的不完美,才能看見他的美好」 耳朵大小、開口向前
(2,471)
孕兒診所賴錫鉅醫師 447 胎兒心臟超音波最佳檢查週數是幾週呢?我不會安排28週做常規胎兒心臟超音波檢查
(2,084)
孕兒診所賴錫鉅醫師 427 什麼是高層次超音波- 檢查胎兒所有細節的大集合
(1,658)
孕兒診所賴錫鉅醫師 421 高層次超音波先做先贏嗎? 20週以前做高層次有哪些可能問題呢?
(813)
孕兒診所賴錫鉅醫師 413 診斷小耳症可靠嗎? 2D長度大小及彎曲幅度比較可靠且快速
文章分類
孕兒診所 (3)
雙胞胎之一有嚴重心臟病怎麼辦? (1)
孕兒診所的標準作業流程 (6)
孕兒診所 (21)
回首來時路 (3)
分類目錄 (3)
目錄 (3)
回首來時路 (4)
TORCH 感染 (2)
巨細胞病毒(CMV IgM)陽性 (2)
TORCH (16)
胎兒心臟 (53)
malaligment VSD (16)
subaortic left brachiocephalic vein (4)
TOF (15)
common arterial trunk (3)
IAA (15)
PA - VSD (6)
DORV (1)
MAPCA (1)
fetal aortic valve regurgitation (4)
法洛氏心臟病 (3)
右側主動脈弓 (45)
產前診斷迷走性右側鎖骨下動脈 (14)
Situs inversus (1)
single ventricle (8)
eustachian valve (1)
胎兒全肺靜脈回流異常 (66)
CCAML (10)
TGA (4)
left pulmonary artery sling (1)
胎兒心室中隔缺損 (56)
DV (7)
muscular type VSD (4)
Persistent Left SVC (1)
pulmonary valve stenosis (16)
Ebstein anomaly (1)
膜周部心室中隔缺損 (9)
左心發育不全 (2)
double aortic arch (3)
雙側主動脈弓 (2)
inlet type VSD (4)
severe TR with PS (3)
共同動脈幹 (7)
pulmonary atresia with IAS or VSD (1)
PDA (1)
azygus vein (1)
胎兒心室中隔缺損 (26)
持續性左側上腔靜脈 (10)
TR (1)
aortic stenosis (4)
critical PS (3)
hypoplastic left heart (7)
perimembranous VSD (22)
fetal heart arrythmia (2)
先天性心臟病 (6)
coarctation of aorta (14)
aortic arch (2)
ASD primum type (6)
TAPVR (4)
新生兒心室中隔缺損 (4)
pulmonary vein images (3)
AS and PS (3)
雙側主動脈弓 (2)
AVSD (6)
胎兒心臟超音波 (58)
產前診斷法洛氏心臟病 (4)
產前診斷‘’錯位型‘’心室中隔缺損 (1)
產前診斷膜周部型心室中隔缺損 (1)
胎兒肺靜脈如何檢查經驗分享 (2)
產前診斷膜周部心室中隔 (2)
DV enter coronary sinus (1)
PAPVR infracardiac type (12)
三心房症 (1)
產前診斷胎兒結節硬化症 (1)
產前診斷血管環 (1)
產前診斷肺動脈釣索(Pulmonary artery sling) (1)
PA sling (3)
VSD type II (2)
法洛氏心臟病過度診斷 (1)
DV agenesis (3)
產前診斷雙側主動脈弓 (1)
產前診斷部份肺靜脈回流異常 (1)
胎兒心跳速率慢 (2)
AP window (1)
肺動脈狹窄或肺動脈閉鎖 (2)
IAA (6)
產前診斷錯位型心室中隔缺損 (2)
心室中隔缺損(VSD)過度診斷 (1)
主動脈弓中斷 (2)
產前診斷主動脈弓狹窄 (2)
產前診斷共同動脈幹 (1)
左側持續性上腔靜脈可能會造成哪些誤診 (1)
aorta 3 branches (1)
產前診斷單一心室 (1)
產前診斷心房心室中隔缺損(AVSD) (3)
coronary artery (2)
intercostal vein (1)
fetal thymus (1)
胎兒的胸腺 (6)
overdiagnosis VSD (19)
Z score and percentile (1)
fetal innominate vein (6)
right coronary artery (2)
胎兒心臟超音波 (116)
left pulmonary vein (6)
azygos vein (1)
產前診斷主動脈瓣膜輕微狹窄 (1)
pulmonary vein (7)
右肺靜脈 (1)
right coronary artery (1)
azygus vein (1)
right coronary artery (1)
azygus vein (1)
right subclavian artery (1)
PR interval (1)
fetal heart rate (1)
E10 fetal heart screen (4)
fetal heart anatomy (3)
fetal vein images (1)
fetal aorta images (1)
FHS OF E6 (2)
right subclavian artery (1)
coumadin ridge and left superior pulmonary vein (1)
高層次超音波 (20)
判斷胎兒侏儒 (1)
產前診斷小頭合併平腦症 (1)
產前診斷單側唇及齒槽骨裂 (1)
量測子宮頸長度 (4)
20週以前做高層次有哪些可能問題呢? (1)
胎兒腹部畸胎瘤 (1)
單純性顎裂 (7)
胎兒雙側手指少一節產前診斷 (1)
產前診斷胎兒肝門靜脈沒有發育 (2)
單一大門牙產前診斷 (1)
單純懸雍垂裂產前診斷 (3)
胎兒第六腦室(cavum vergae)比較明顯 (1)
產前診斷小耳症 (3)
腹部隔離肺 (1)
產前診斷持續性右側臍靜脈 (22)
胎兒貧血 (2)
高層次超音波 (26)
超音波數據 (11)
images (1)
胎兒中腦動脈的應用 (1)
3D4D超音波 (1)
3D/4D超音波 (9)
基因染色體異常 genetic disease (2)
Down syndrome risk (1)
狄喬治症候群(DiGeorge syndrome) (3)
胎兒腦部 brain (20)
normal fetal brain (1)
胎兒腦部透明中隔腔(CSP) (2)
胎兒也有中風的可能 (1)
隱性脊柱裂合併中後腦異常 (1)
產前診斷 Blake's pouch cyst (3)
brain ventriculomegaly (1)
腦部超音波 (4)
胎兒腦大池(CM)擴大如何諮詢? (1)
產前診斷透明中隔沒發育 (1)
cavum vergae (4)
cephalocele (4)
ASP (1)
Dandy- Walker malformation (1)
胎兒腦部超音波 (19)
胎兒腦室擴大 (14)
intracranial cyst (1)
駢胝體 (5)
產前診斷駢胝體發育不全 (10)
小腦(小頭)症 (2)
CSP (9)
胎兒臉部 face (17)
小下巴 (1)
fetal ear (1)
產前診斷唇顎裂 (1)
隱性顎裂 (1)
產前診斷懸雍垂裂 (4)
胎兒鼻骨塌有沒有問題 ? (2)
fetal face (1)
fetal jaw and hard palate images (2)
懸雍垂(uvula)排除顎裂 (8)
epiglottis and uvula of soft palate images (1)
cleft lip and palate (9)
uvula of soft palate (3)
胎兒單純性顎裂 (8)
cleft lip (9)
fetal palate image (8)
palate images normal variation (1)
3 lines of uvula (2)
胎兒肺臟 (10)
產前診斷隔離肺 (4)
產前診斷右肺沒發育 (1)
prenatal dignosis of BPS (1)
胎兒肺部白白的 (1)
trachea and bronchus (1)
pleural effusion (2)
congenital diaphragmatic hernia (3)
胎兒肺部異常 (5)
fetal trachea images (2)
胎兒先天性橫膈膜疝氣 (1)
胎兒四肢 extremity (5)
胎兒手指如何檢查 (1)
產前診斷多指症 (1)
fetal extremity images (2)
先天性馬蹄內翻足 (3)
clubfoot (6)
胎兒腹部 abdomen (12)
PRUV (3)
產前診斷腹壁裂 (1)
fetal portal vein (12)
fetal liver hemangioma (1)
fetal liver and gallbladder (2)
fetal liver hot spot (1)
fetal adrenal gland (1)
omphalocele (3)
echogenic bowel (2)
fetal gallbladder images (1)
fetal intestine images (1)
omphalocele (1)
胎兒脊椎 spine (6)
產前診斷半椎體症 (1)
產前診斷蝴蝶椎 (1)
fetal spine (2)
FETAL SPINE (1)
脊柱裂(Spinal bifida) (1)
fetal spine images (1)
胎兒性器官 sex organ (4)
fetal hypospadias (13)
胎兒尿道下裂 (2)
fetal female sex (1)
fetal penis (3)
胎兒肛門 anus (2)
低位無肛產前診斷 (2)
無肛症 (8)
胎兒臍帶 cord (1)
單一臍動脈 (5)
胎盤與子宮 placenta and uterus (3)
velamentous cord insertion (1)
胎盤早期剝離 (1)
vasa previa (1)
產科 (10)
子宮頸長度測量 (1)
雙胞胎懷孕 (3)
抽羊水檢查 (1)
autoimmune disease (2)
twin (1)
校正預產期 (2)
子宮外孕 (1)
妊娠高血壓 (1)
胎兒估計體重過輕可能有什麼問題 (2)
自然生產的風險 (5)
新生兒超音波 (1)
新生兒心臟超音波 (10)
心情雜記 (3)
讀書 (2)
心情雜記 (51)
醫學 (8)
memory (2)
memory (8)
miss images (15)
brain images (1)
未分類文章 (1)
最新文章
孕兒診所賴錫鉅醫師 470 寫給一位焦慮的先生 : 胎兒腦部胼胝體真的有問題嗎?
孕兒診所賴錫鉅醫師 469 胎兒心臟超音波可以救援母血篩檢NIPS案例分享 : 血管環與狄喬治症候群
孕兒診所賴錫鉅醫師 468 小孩會走路比較重要還是照3D比較重要 : 養兵千日,用在一時
孕兒診所賴錫鉅醫師 465 低位無肛產前影像經驗分享- II A與B的距離不一樣
孕兒診所賴錫鉅醫師 467 孕兒診所10週年感言 : 腳踏實地,心安理得
孕兒診所賴錫鉅醫師 466 產前診斷共同動脈幹經驗分享
孕兒診所賴錫鉅醫師 464 低位無肛產前診斷經驗分享 - I
孕兒診所賴錫鉅醫師 463 胎兒腦部有疑慮需要盡快轉診 : 你看到的常常只是冰山一角
孕兒診所賴錫鉅醫師 462 法洛氏心臟病過度診斷可能造成悲劇 : 為什麼會過度診斷及如何避免經驗分享
孕兒診所賴錫鉅醫師 461 如何避免糾紛,誠實是上策
最新留言
[24/10/21] 訪客 於文章「孕兒診所賴錫鉅醫師 167 胎兒肺部白白...」
留言:
您好,我目前懷孕24週,上星期拍完高層次,拍完的肺葉跟您的一...
[23/06/17] 陳岑安 於文章「孕兒診所賴錫鉅醫師 128 胎兒心臟超音...」
發表了一則私密留言
[22/07/31] 訪客 於文章「孕兒診所賴錫鉅醫師 299 產前診斷單純...」
留言:
非常謝謝醫師的回覆...
[22/07/26] 訪客 於文章「孕兒診所賴錫鉅醫師 299 產前診斷單純...」
留言:
請問醫師,所以prs還是無法從羊水晶片檢驗得知,還是有很多罕...
[22/07/14] 訪客 於文章「孕兒診所賴錫鉅醫師 264 產前診斷部分...」
留言:
我的狀況跟這位孕婦很像,目前23週高層次產檢除了CSP形狀非...
[22/05/30] haha6410 於文章「孕兒診所賴錫鉅醫師 198 千里之行,始...」
發表了一則私密留言
[22/05/30] haha6410 於文章「孕兒診所賴錫鉅醫師 198 千里之行,始...」
發表了一則私密留言
[22/04/23] 訪客 於文章「孕兒診所賴錫鉅醫師 51 高層次超音波系...」
留言:
回饋您這方面資訊,我是從 PTT搜尋引擎的排名,看...
[21/09/12] 訪客 於文章「孕兒診所賴錫鉅醫師 99 目錄 (一...」
留言:
謝謝醫師的回覆。...
[21/09/10] 訪客 於文章「孕兒診所賴錫鉅醫師 99 目錄 (一...」
留言:
醫師您好我心中有解不開的疑問,我做了羊膜穿刺及羊水晶片,檢查...
動態訂閱
文章精選
文章搜尋
誰來我家
參觀人氣
本日人氣:
累積人氣: