PIXNET Logo登入

賴錫鉅醫師 的 部落格

跳到主文

歡迎光臨 賴錫鉅醫師 在痞客邦的小天地

部落格全站分類:醫療保健

  • 相簿
  • 部落格
  • 留言
  • 名片
  • 10月 16 週日 202214:56
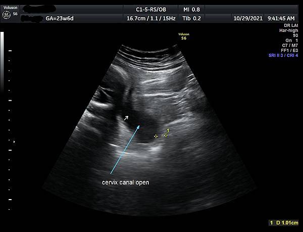
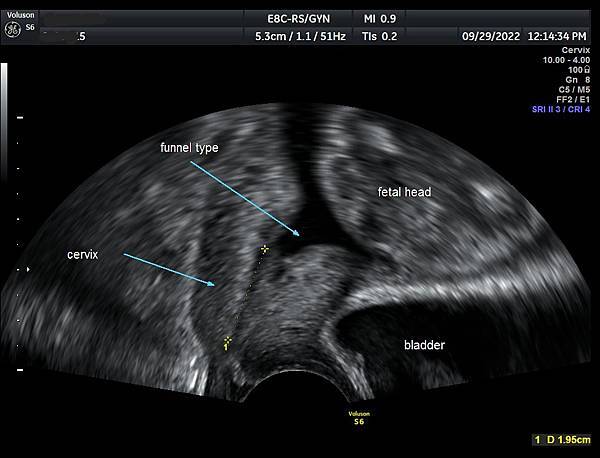
  • 孕兒診所賴錫鉅醫師 385 子宮頸長度測量預防早產 - 5 漏斗型子宮頸產前診斷經驗分享

385-1.jpg

385
子宮頸長度測量預防早產 - 5
漏斗型子宮頸產前診斷經驗分享
(繼續閱讀...)
文章標籤

賴錫鉅醫師 發表在 痞客邦 留言(0) 人氣(1,003)

  • 個人分類:量測子宮頸長度
▲top
  • 9月 20 週二 202222:43
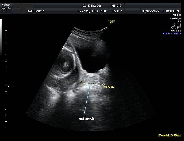
  • 孕兒診所賴錫鉅醫師 384 讓我嚇一大跳的case : 如何避免子宮頸長度測量錯誤

384-1.jpg

384
讓我嚇一大跳的case
如何避免子宮頸長度測量錯誤
(繼續閱讀...)
文章標籤

賴錫鉅醫師 發表在 痞客邦 留言(0) 人氣(407)

  • 個人分類:量測子宮頸長度
▲top
  • 9月 10 週六 202211:33
  • 孕兒診所賴錫鉅醫師 383 早產兒最好的醫療是避免早產 : 子宮頸長度測量避免早產案例分享

383-1.jpg

383
早產兒最好的醫療是避免早產
子宮頸長度測量避免早產案例分享
(繼續閱讀...)
文章標籤

賴錫鉅醫師 發表在 痞客邦 留言(0) 人氣(503)

  • 個人分類:量測子宮頸長度
▲top
  • 11月 05 週五 202123:39
  • 孕兒診所賴錫鉅醫師 341 預防早產需要量測子宮頸長度 : 孕期性行為要戴保險套

341-1.jpg

341
預防早產需要量測子宮頸長度
孕期性行為要戴保險套
(繼續閱讀...)
文章標籤

賴錫鉅醫師 發表在 痞客邦 留言(0) 人氣(1,274)

  • 個人分類:量測子宮頸長度
▲top
1

個人資訊

賴錫鉅醫師
暱稱:
賴錫鉅醫師
分類:
醫療保健
好友:
累積中
地區:

熱門文章

  • (125,105)孕兒診所賴錫鉅醫師 99 目錄 (一位婦產科醫師的筆記)
  • (29,256)孕兒診所賴錫鉅醫師 20 小腦(小頭)症的診斷 - II
  • (9,617)孕兒診所賴錫鉅醫師 11 難忘的週日
  • (7,777)孕兒診所賴錫鉅醫師 98 分類目錄
  • (3,359)孕兒診所賴錫鉅醫師 428 2024母親節感言 : 你們有什麼不一樣?
  • (2,472)孕兒診所賴錫鉅醫師 447 胎兒心臟超音波最佳檢查週數是幾週呢?我不會安排28週做常規胎兒心臟超音波檢查
  • (2,084)孕兒診所賴錫鉅醫師 427 什麼是高層次超音波- 檢查胎兒所有細節的大集合
  • (1,580)孕兒診所賴錫鉅醫師 448 我的胎兒右眼凸凸的,有沒有問題呢? 產檢照3D影像會有很多不必要的煩惱
  • (1,039)孕兒診所賴錫鉅醫師 431 巨細胞病毒(CMV IgM)陽性真的有問題嗎? 為什麼我喜歡這個工作-Part II
  • (815)孕兒診所賴錫鉅醫師 413 診斷小耳症可靠嗎? 2D長度大小及彎曲幅度比較可靠且快速

文章分類

toggle 孕兒診所 (3)
  • 雙胞胎之一有嚴重心臟病怎麼辦? (1)
  • 孕兒診所的標準作業流程 (6)
  • 孕兒診所 (21)
toggle 回首來時路 (3)
  • 分類目錄 (3)
  • 目錄 (3)
  • 回首來時路 (4)
toggle TORCH 感染 (2)
  • 巨細胞病毒(CMV IgM)陽性 (2)
  • TORCH (16)
toggle 胎兒心臟 (53)
  • malaligment VSD (16)
  • subaortic left brachiocephalic vein (4)
  • TOF (15)
  • common arterial trunk (3)
  • IAA (15)
  • PA - VSD (6)
  • DORV (1)
  • MAPCA (1)
  • fetal aortic valve regurgitation (4)
  • 法洛氏心臟病 (3)
  • 右側主動脈弓 (45)
  • 產前診斷迷走性右側鎖骨下動脈 (14)
  • Situs inversus (1)
  • single ventricle (8)
  • eustachian valve (1)
  • 胎兒全肺靜脈回流異常 (66)
  • CCAML (10)
  • TGA (4)
  • left pulmonary artery sling (1)
  • 胎兒心室中隔缺損 (56)
  • DV (7)
  • muscular type VSD (4)
  • Persistent Left SVC (1)
  • pulmonary valve stenosis (16)
  • Ebstein anomaly (1)
  • 膜周部心室中隔缺損 (9)
  • 左心發育不全 (2)
  • double aortic arch (3)
  • 雙側主動脈弓 (2)
  • inlet type VSD (4)
  • severe TR with PS (3)
  • 共同動脈幹 (7)
  • pulmonary atresia with IAS or VSD (1)
  • PDA (1)
  • azygus vein (1)
  • 胎兒心室中隔缺損 (26)
  • 持續性左側上腔靜脈 (10)
  • TR (1)
  • aortic stenosis (4)
  • critical PS (3)
  • hypoplastic left heart (7)
  • perimembranous VSD (22)
  • fetal heart arrythmia (2)
  • 先天性心臟病 (6)
  • coarctation of aorta (14)
  • aortic arch (2)
  • ASD primum type (6)
  • TAPVR (4)
  • 新生兒心室中隔缺損 (4)
  • pulmonary vein images (3)
  • AS and PS (3)
  • 雙側主動脈弓 (2)
  • AVSD (6)
toggle 胎兒心臟超音波 (58)
  • 產前診斷法洛氏心臟病 (4)
  • 產前診斷‘’錯位型‘’心室中隔缺損 (1)
  • 產前診斷膜周部型心室中隔缺損 (1)
  • 胎兒肺靜脈如何檢查經驗分享 (2)
  • 產前診斷膜周部心室中隔 (2)
  • DV enter coronary sinus (1)
  • PAPVR infracardiac type (12)
  • 三心房症 (1)
  • 產前診斷胎兒結節硬化症 (1)
  • 產前診斷血管環 (1)
  • 產前診斷肺動脈釣索(Pulmonary artery sling) (1)
  • PA sling (3)
  • VSD type II (2)
  • 法洛氏心臟病過度診斷 (1)
  • DV agenesis (3)
  • 產前診斷雙側主動脈弓 (1)
  • 產前診斷部份肺靜脈回流異常 (1)
  • 胎兒心跳速率慢 (2)
  • AP window (1)
  • 肺動脈狹窄或肺動脈閉鎖 (2)
  • IAA (6)
  • 產前診斷錯位型心室中隔缺損 (2)
  • 心室中隔缺損(VSD)過度診斷 (1)
  • 主動脈弓中斷 (2)
  • 產前診斷主動脈弓狹窄 (2)
  • 產前診斷共同動脈幹 (1)
  • 左側持續性上腔靜脈可能會造成哪些誤診 (1)
  • aorta 3 branches (1)
  • 產前診斷單一心室 (1)
  • 產前診斷心房心室中隔缺損(AVSD) (3)
  • coronary artery (2)
  • intercostal vein (1)
  • fetal thymus (1)
  • 胎兒的胸腺 (6)
  • overdiagnosis VSD (19)
  • Z score and percentile (1)
  • fetal innominate vein (6)
  • right coronary artery (2)
  • 胎兒心臟超音波 (116)
  • left pulmonary vein (6)
  • azygos vein (1)
  • 產前診斷主動脈瓣膜輕微狹窄 (1)
  • pulmonary vein (7)
  • 右肺靜脈 (1)
  • right coronary artery (1)
  • azygus vein (1)
  • right coronary artery (1)
  • azygus vein (1)
  • right subclavian artery (1)
  • PR interval (1)
  • fetal heart rate (1)
  • E10 fetal heart screen (4)
  • fetal heart anatomy (3)
  • fetal vein images (1)
  • fetal aorta images (1)
  • FHS OF E6 (2)
  • right subclavian artery (1)
  • coumadin ridge and left superior pulmonary vein (1)
toggle 高層次超音波 (20)
  • 判斷胎兒侏儒 (1)
  • 產前診斷小頭合併平腦症 (1)
  • 產前診斷單側唇及齒槽骨裂 (1)
  • 量測子宮頸長度 (4)
  • 20週以前做高層次有哪些可能問題呢? (1)
  • 胎兒腹部畸胎瘤 (1)
  • 單純性顎裂 (7)
  • 胎兒雙側手指少一節產前診斷 (1)
  • 產前診斷胎兒肝門靜脈沒有發育 (2)
  • 單一大門牙產前診斷 (1)
  • 單純懸雍垂裂產前診斷 (3)
  • 胎兒第六腦室(cavum vergae)比較明顯 (1)
  • 產前診斷小耳症 (3)
  • 腹部隔離肺 (1)
  • 產前診斷持續性右側臍靜脈 (22)
  • 胎兒貧血 (2)
  • 高層次超音波 (26)
  • 超音波數據 (11)
  • images (1)
  • 胎兒中腦動脈的應用 (1)
toggle 3D4D超音波 (1)
  • 3D/4D超音波 (9)
toggle 基因染色體異常 genetic disease (2)
  • Down syndrome risk (1)
  • 狄喬治症候群(DiGeorge syndrome) (3)
toggle 胎兒腦部 brain (20)
  • normal fetal brain (1)
  • 胎兒腦部透明中隔腔(CSP) (2)
  • 胎兒也有中風的可能 (1)
  • 隱性脊柱裂合併中後腦異常 (1)
  • 產前診斷 Blake's pouch cyst (3)
  • brain ventriculomegaly (1)
  • 腦部超音波 (4)
  • 胎兒腦大池(CM)擴大如何諮詢? (1)
  • 產前診斷透明中隔沒發育 (1)
  • cavum vergae (4)
  • cephalocele (4)
  • ASP (1)
  • Dandy- Walker malformation (1)
  • 胎兒腦部超音波 (19)
  • 胎兒腦室擴大 (14)
  • intracranial cyst (1)
  • 駢胝體 (5)
  • 產前診斷駢胝體發育不全 (10)
  • 小腦(小頭)症 (2)
  • CSP (9)
toggle 胎兒臉部 face (17)
  • 小下巴 (1)
  • fetal ear (1)
  • 產前診斷唇顎裂 (1)
  • 隱性顎裂 (1)
  • 產前診斷懸雍垂裂 (4)
  • 胎兒鼻骨塌有沒有問題 ? (2)
  • fetal face (1)
  • fetal jaw and hard palate images (2)
  • 懸雍垂(uvula)排除顎裂 (8)
  • epiglottis and uvula of soft palate images (1)
  • cleft lip and palate (9)
  • uvula of soft palate (3)
  • 胎兒單純性顎裂 (8)
  • cleft lip (9)
  • fetal palate image (8)
  • palate images normal variation (1)
  • 3 lines of uvula (2)
toggle 胎兒肺臟 (10)
  • 產前診斷隔離肺 (4)
  • 產前診斷右肺沒發育 (1)
  • prenatal dignosis of BPS (1)
  • 胎兒肺部白白的 (1)
  • trachea and bronchus (1)
  • pleural effusion (2)
  • congenital diaphragmatic hernia (3)
  • 胎兒肺部異常 (5)
  • fetal trachea images (2)
  • 胎兒先天性橫膈膜疝氣 (1)
toggle 胎兒四肢 extremity (5)
  • 胎兒手指如何檢查 (1)
  • 產前診斷多指症 (1)
  • fetal extremity images (2)
  • 先天性馬蹄內翻足 (3)
  • clubfoot (6)
toggle 胎兒腹部 abdomen (12)
  • PRUV (3)
  • 產前診斷腹壁裂 (1)
  • fetal portal vein (12)
  • fetal liver hemangioma (1)
  • fetal liver and gallbladder (2)
  • fetal liver hot spot (1)
  • fetal adrenal gland (1)
  • omphalocele (3)
  • echogenic bowel (2)
  • fetal gallbladder images (1)
  • fetal intestine images (1)
  • omphalocele (1)
toggle 胎兒脊椎 spine (6)
  • 產前診斷半椎體症 (1)
  • 產前診斷蝴蝶椎 (1)
  • fetal spine (2)
  • FETAL SPINE (1)
  • 脊柱裂(Spinal bifida) (1)
  • fetal spine images (1)
toggle 胎兒性器官 sex organ (4)
  • fetal hypospadias (13)
  • 胎兒尿道下裂 (2)
  • fetal female sex (1)
  • fetal penis (3)
toggle 胎兒肛門 anus (2)
  • 低位無肛產前診斷 (2)
  • 無肛症 (8)
toggle 胎兒臍帶 cord (1)
  • 單一臍動脈 (5)
toggle 胎盤與子宮 placenta and uterus (3)
  • velamentous cord insertion (1)
  • 胎盤早期剝離 (1)
  • vasa previa (1)
toggle 產科 (10)
  • 子宮頸長度測量 (1)
  • 雙胞胎懷孕 (3)
  • 抽羊水檢查 (1)
  • autoimmune disease (2)
  • twin (1)
  • 校正預產期 (2)
  • 子宮外孕 (1)
  • 妊娠高血壓 (1)
  • 胎兒估計體重過輕可能有什麼問題 (2)
  • 自然生產的風險 (5)
toggle 新生兒超音波 (1)
  • 新生兒心臟超音波 (10)
toggle 心情雜記 (3)
  • 讀書 (2)
  • 心情雜記 (51)
  • 醫學 (8)
toggle memory (2)
  • memory (8)
  • miss images (15)
  • brain images (1)
  • 未分類文章 (1)

最新文章

  • 孕兒診所賴錫鉅醫師 470 寫給一位焦慮的先生 : 胎兒腦部胼胝體真的有問題嗎?
  • 孕兒診所賴錫鉅醫師 469 胎兒心臟超音波可以救援母血篩檢NIPS案例分享 : 血管環與狄喬治症候群
  • 孕兒診所賴錫鉅醫師 468 小孩會走路比較重要還是照3D比較重要 : 養兵千日,用在一時
  • 孕兒診所賴錫鉅醫師 465 低位無肛產前影像經驗分享- II A與B的距離不一樣
  • 孕兒診所賴錫鉅醫師 467 孕兒診所10週年感言 : 腳踏實地,心安理得
  • 孕兒診所賴錫鉅醫師 466 產前診斷共同動脈幹經驗分享
  • 孕兒診所賴錫鉅醫師 464 低位無肛產前診斷經驗分享 - I
  • 孕兒診所賴錫鉅醫師 463 胎兒腦部有疑慮需要盡快轉診 : 你看到的常常只是冰山一角
  • 孕兒診所賴錫鉅醫師 462 法洛氏心臟病過度診斷可能造成悲劇 : 為什麼會過度診斷及如何避免經驗分享
  • 孕兒診所賴錫鉅醫師 461 如何避免糾紛,誠實是上策

最新留言

  • [24/10/21] 訪客 於文章「孕兒診所賴錫鉅醫師 167 胎兒肺部白白...」留言:
    您好,我目前懷孕24週,上星期拍完高層次,拍完的肺葉跟您的一...
  • [23/06/17] 陳岑安 於文章「孕兒診所賴錫鉅醫師 128 胎兒心臟超音...」發表了一則私密留言
  • [22/07/31] 訪客 於文章「孕兒診所賴錫鉅醫師 299 產前診斷單純...」留言:
    非常謝謝醫師的回覆...
  • [22/07/26] 訪客 於文章「孕兒診所賴錫鉅醫師 299 產前診斷單純...」留言:
    請問醫師,所以prs還是無法從羊水晶片檢驗得知,還是有很多罕...
  • [22/07/14] 訪客 於文章「孕兒診所賴錫鉅醫師 264 產前診斷部分...」留言:
    我的狀況跟這位孕婦很像,目前23週高層次產檢除了CSP形狀非...
  • [22/05/30] haha6410 於文章「孕兒診所賴錫鉅醫師 198 千里之行,始...」發表了一則私密留言
  • [22/05/30] haha6410 於文章「孕兒診所賴錫鉅醫師 198 千里之行,始...」發表了一則私密留言
  • [22/04/23] 訪客 於文章「孕兒診所賴錫鉅醫師 51 高層次超音波系...」留言:
    回饋您這方面資訊,我是從 PTT搜尋引擎的排名,看...
  • [21/09/12] 訪客 於文章「孕兒診所賴錫鉅醫師 99 目錄 (一...」留言:
    謝謝醫師的回覆。...
  • [21/09/10] 訪客 於文章「孕兒診所賴錫鉅醫師 99 目錄 (一...」留言:
    醫師您好我心中有解不開的疑問,我做了羊膜穿刺及羊水晶片,檢查...

動態訂閱

文章精選

文章搜尋

誰來我家

參觀人氣

  • 本日人氣:
  • 累積人氣: