
211
胎兒心臟超音波和新生兒心臟超音波的區別
2018.11.11.
賴錫鉅
胎兒心臟超音波和新生兒心臟超音波的區別,就在於孩子出生前後 ;為了突破產前心臟病診斷的限制,基於我對胎兒心臟超音波的熱愛與執著,讓我一路從胎兒心臟研究到新生兒的心臟。
出生後因為能直接用超音波檢查新生兒的心臟,心臟結構可以被清楚的評估掌握,例如心臟破洞(VSD,ASD)及瓣膜問題的鑑別診斷絕對比胎兒時期容易;但是針對氣管周圍血管環的問題,胎兒時期比較容易看得出來,因為胎兒時期的氣管裡面流動的是羊水,胎兒心臟超音波可以很清楚的評估氣管旁邊的血管是否有問題,而新生兒的氣管是充滿空氣,對超音波而言,空氣是最大的阻礙物,所以在這部分胎兒心臟超音波優於新生兒心臟超音波。
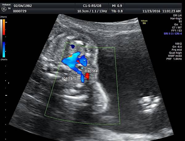
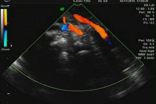
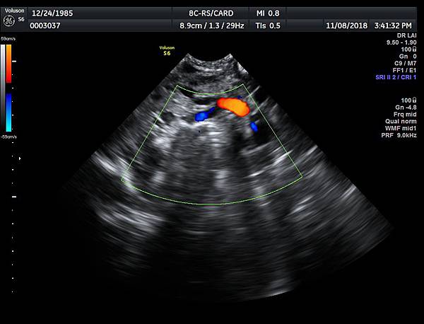
有一對夫妻因為我之前迷走性右側鎖骨下動脈(ARSA)的診斷而選擇孕兒診所,先生告知因為曾經有一個產前被我診斷ARSA的個案在他們醫院出生,他們花很久的時間才證實新生兒有ARSA,他覺得我很厲害,我有點不好意思,其實對專家而言,胎兒時期要診斷ARSA比新生兒容易,原因是胎兒時期超音波下,這條血管可以很清楚的被看到,它是從主動脈出來經過氣管的後面由左側繞到右側(附圖 1.),但是新生兒心臟超音波要看這條血管有困難,因為氣管擋住這條血管,醫師只能靠主動脈的第一個分支(brachiocephalic artery)沒有呈現 y 的特徵(附圖 2.),所謂 y 是brachiocephalic artery正常是會分出兩個分支(附圖 3.4.),一個是right common carotid artery,另一個是right subclavian artery,如果有迷走性右側鎖骨下動脈( ARSA ),就不會有正常的right subclavian artery,所以在新生兒的右頸部就不會看到 y的特徵,新生兒要直接看到迷走性右側鎖骨下動脈( ARSA)這條血管真的要花很多的時間(參考第51篇文章)。
針對心室中隔缺損(VSD)的診斷,要清楚的分型則是新生兒心臟超音波優於胎兒心臟超音波,我發現新生兒心臟超音波要區別VSD屬於哪一型真的很清楚且快速,但是胎兒心臟超音波要對VSD做分型可是要花很多時間,因為胎兒心臟超音波要隔著孕婦的肚皮,而且又受限於胎兒的胸部不一定往上,所以VSD是產前公認最會被漏診或過度診斷的心臟病;要針對VSD的分型真的需要很多時間,最近我在胎兒VSD的分型已經有一些心得,會在往後的文章分享,做了22年胎兒心臟超音波,到今年我才比較有把握胎兒VSD如何分型,因為每一型我都自己親自診斷過,而且產後證實產前的診斷。
執行新生兒心臟超音波和胎兒心臟超音波,還有一個 “人” 的變數,新生兒心臟超音波的檢查,寶寶一哭鬧,醫師就無法檢查,所以執行新生兒心臟超音波需要選擇新生兒睡著的時候執行;而胎兒心臟超音波如果遇到胎兒姿勢不適合,孕婦必須起來走動吃東西等等,雖然有時也要等待很久,並不會有寶寶震撼彈,所以執行上,我個人還是比較喜歡胎兒心臟超音波檢查,因為比較安靜。




711-324
711-316
711-315
711-308