- 10月 27 週五 201723:45
memory 77 TAPVD IIa -2
- 10月 27 週五 201723:27
memory 76 TAPVD IIa -1
- 12月 03 週六 201623:20
孕兒診所賴錫鉅醫師 140 為什麼全肺靜脈回流異常會讓超音波高手漏掉

140
為什麼全肺靜脈回流異常會讓超音波高手漏掉
2016. 12. 3.
賴錫鉅
執行胎兒心臟超音波已經有20年,對肺靜脈回流異常一直存有敬畏之心,雖然它的機率很低,只有0.9/10000,但是它產後手術的急迫性有可能造成新生兒死亡,所以產前診斷是需要的,會漏掉的醫師大部分是超音波高手,因為看得夠多才有機會遇到。
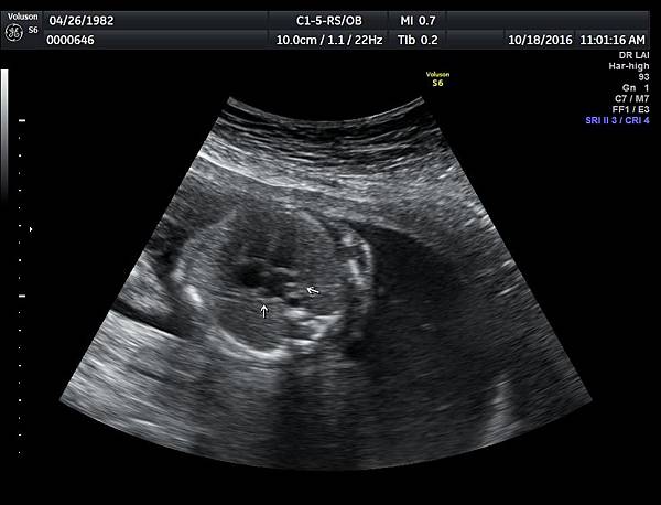
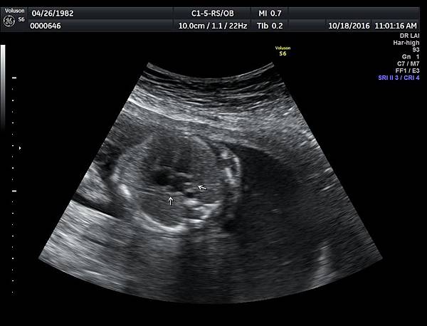
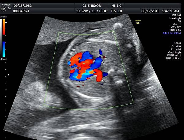
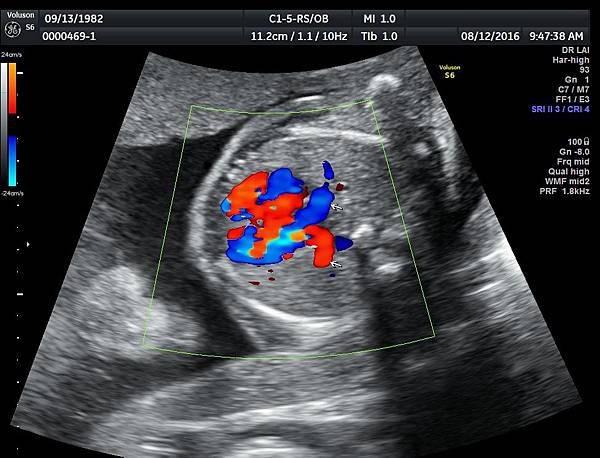
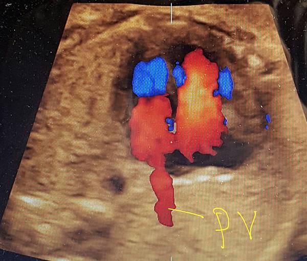
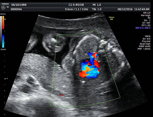
我看肺靜脈的心路歷程可以分成三個階段,第一個階段是用gray scale(黑白)看到左右肺靜脈下行支回到左心房(附圖 1.2.),第二個階段是用flow(彩色)看到左右肺靜脈回到左心房(附圖 3.4.),第三階段是同時要看到黑白和彩色的左右肺靜脈回到左心房,為什麼只有看flow(彩色)不安全呢?因為右肺靜脈的flow有時候是假影,為何會看到假影?因為右心房到左心房的flow overlapping(重疊)造成的(附圖 5.),如何判斷是假影,只要關掉flow看黑白的即可證明右肺靜脈沒有進入左心房(附圖 6.)。
如果同時看到左右肺靜脈進入左心房,這種誤判的機率下降很多,如果只能看到一條肺靜脈的血流,我會選擇左肺靜脈(附圖 7.8.),因為左肺靜脈的血流比較不會被overlapping,最安全的方法是黑白和彩色都看到左右肺靜脈進入左心房,只是需要胎兒姿勢配合,當然孕婦的體重也是需要考量的因素。
2016年10月10日,日本川瀧醫師(Dr Kawataki)在台灣的胎兒心臟超音波 stic seminar(附圖 9.10.)演講時講到一句話,flow and gray scale 同時看肺靜脈進入左心房才不會漏掉肺靜脈回流異常,他一語道破這個眉角,我是花了很多年才得到這個心得,如果川瀧再來台灣,我們要多跟他學習,他是一位有赤子之心的醫師,聽他的演講可以節省很多摸索的時間。










- 11月 14 週一 201611:09
memory 16 TAPVR Ib and IVC DV Hepatic vein level
