- Mar 22 Tue 2016 00:30
-
孕兒診所賴錫鉅醫師 98 分類目錄
- Nov 23 Sun 2014 13:48
-
孕兒診所賴錫鉅醫師 99 目錄 (一位婦產科醫師的筆記)
- Mar 17 Tue 2026 06:59
-
孕兒診所賴錫鉅醫師 470 寫給一位焦慮的先生 : 胎兒腦部胼胝體真的有問題嗎?

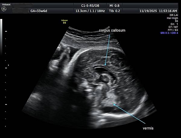
470 寫給一位焦慮的先生 胎兒腦部胼胝體真的有問題嗎? 2026. 3. 12. 賴錫鉅
昨天診所收到一封香港來信,胎兒因為高層次被診斷部分胼胝體發育不全的個案,字裡行間我能感受到孕婦先生對小孩的愛與用心,我願意寫一篇文章分享自己的經驗。
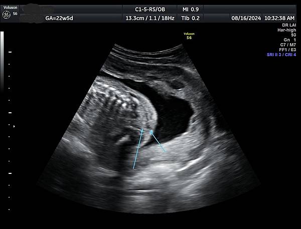
針對部分胼胝體發育不全的診斷,需要非常小心,如果胼胝體只有1/3的個案比較不會是假的,如果是2/3的個案就要很小心判斷是否過度診斷,我喜歡把胼胝體當做第五腦室(CSP )及第六腦室(cavum vergae )的天花板,CSP 與cavum vergae的比例大約2:1,通常CSP 和cavum vergae 都是黑黑的(附圖1),這樣的情況不會量錯,如果cavum vergae呈現白白時(echogenicity),它的天花板就很有可能被誤判不屬於胼胝體,這個問題我已經遇過很多類似的案例,例如附圖2~4是同一個case,圖4沒有疑慮,圖2及圖3很有可能只量到前面2/3比較明顯的部分,而沒有量到圖上的數據。
- Jan 27 Tue 2026 07:35
-
孕兒診所賴錫鉅醫師 469 胎兒心臟超音波可以救援母血篩檢NIPS案例分享 : 血管環與狄喬治症候群

469 胎兒心臟超音波可以救援母血篩檢NIPS案例分享 血管環與狄喬治症候群 2026. 1. 11. 賴錫鉅
2026年1月9日一位34歲第三胎懷孕21週又6天的孕婦在孕兒診所接受胎兒心臟及高層次超音波檢查,檢查後除了邊緣型前置胎盤、羊水指數正常偏少( AFI: 8.19 cm )之外,沒有異常發現。
孕婦告訴我們第二胎(2024年10月)也是在孕兒診所檢查,因為胎兒心臟檢查出胎兒有血管環(附圖1,動脈導管在氣管右側,主動脈弓在氣管左側,參考第446篇文章),建議抽羊水做晶片檢查,結果胎兒是狄喬治症候群( 附圖 2. ),當年她已抽24000元的NIPS( 附圖 3.)沒有異常發現(包含狄喬治症候群),這一胎她直接抽羊水,還好檢查結果正常。
- Nov 20 Thu 2025 23:54
-
孕兒診所賴錫鉅醫師 468 小孩會走路比較重要還是照3D比較重要 : 養兵千日,用在一時
- Nov 13 Thu 2025 23:42
-
孕兒診所賴錫鉅醫師 465 低位無肛產前影像經驗分享- II A與B的距離不一樣
- Nov 13 Thu 2025 23:29
-
孕兒診所賴錫鉅醫師 467 孕兒診所10週年感言 : 腳踏實地,心安理得
- Nov 01 Sat 2025 00:34
-
孕兒診所賴錫鉅醫師 466 產前診斷共同動脈幹經驗分享
- Oct 22 Wed 2025 07:32
-
孕兒診所賴錫鉅醫師 464 低位無肛產前診斷經驗分享 - I
- Oct 01 Wed 2025 07:48
-
孕兒診所賴錫鉅醫師 463 胎兒腦部有疑慮需要盡快轉診 : 你看到的常常只是冰山一角
- Sep 02 Tue 2025 07:48
-
孕兒診所賴錫鉅醫師 462 法洛氏心臟病過度診斷可能造成悲劇 : 為什麼會過度診斷及如何避免經驗分享
- Aug 29 Fri 2025 17:58
-
孕兒診所賴錫鉅醫師 461 如何避免糾紛,誠實是上策







