259透明中隔腔 (CSP) 沒看到怎麼辦?
精準到位的胼胝體檢查
2020. 2. 29.
賴錫鉅
259
711-388
711-354
711-330
2016. 8. 7.
賴錫鉅
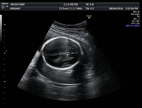
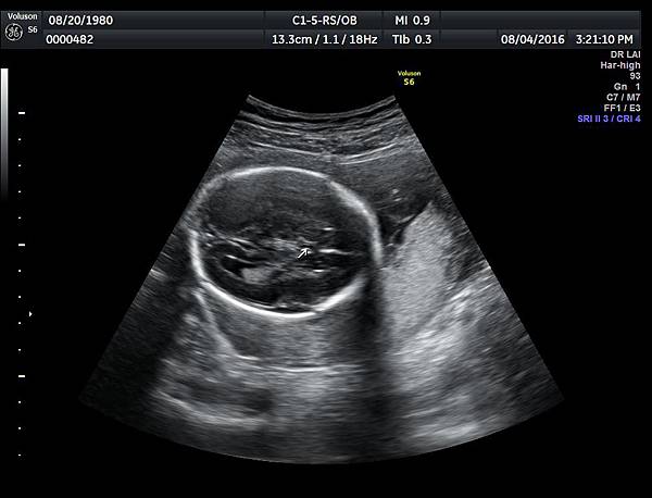
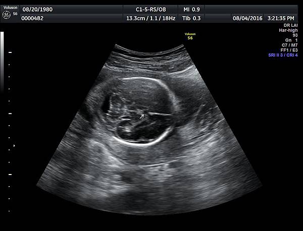
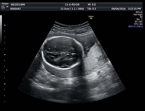
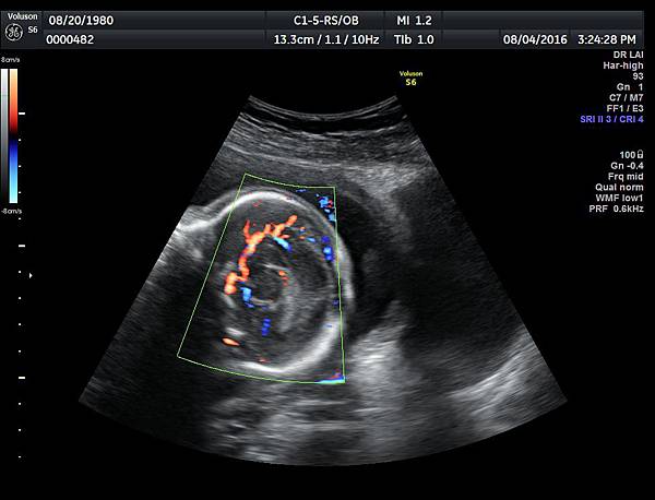
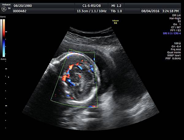
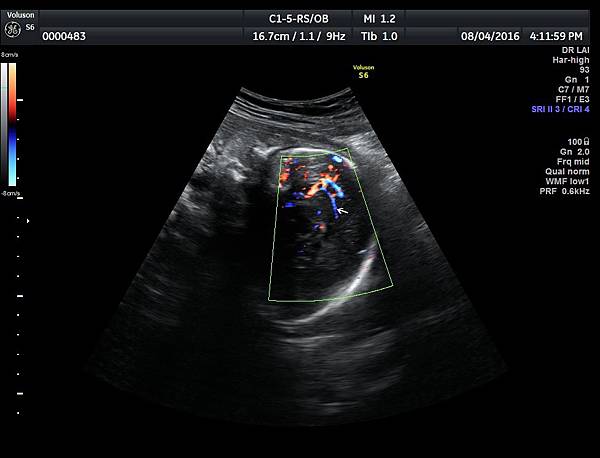
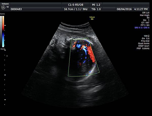
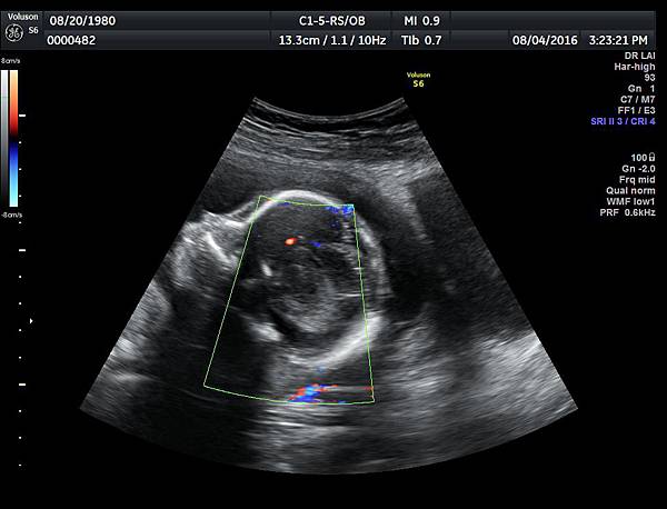
2016年8月4日在執行胎兒高層次超音波檢查時,我發現胎兒腦部的CSP(cavum septum pellucidum)很不清楚(附圖1~4),遇到這種情況,需要仔細評估胎兒腦部的駢胝體,因為CSP的天花板是駢胝體,CSP不明顯時,要合理的懷疑駢胝體沒有發育,或駢胝體下方有長東西(例如lipoma),駢胝體是連接左右大腦的神經纖維所組成。
檢查胎兒駢胝體是有技巧的,需要兩個切面:
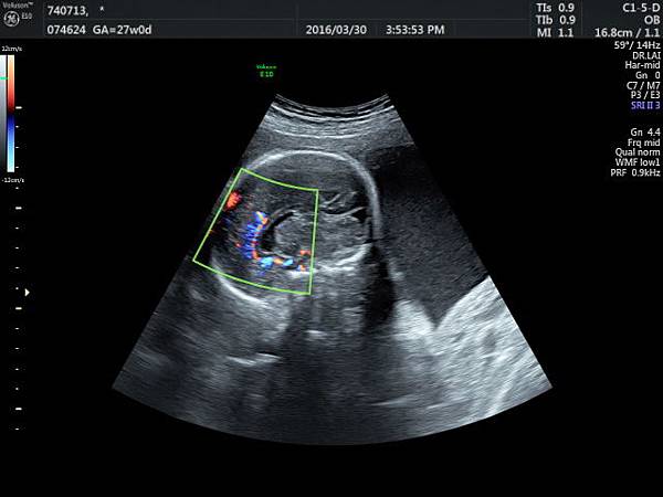
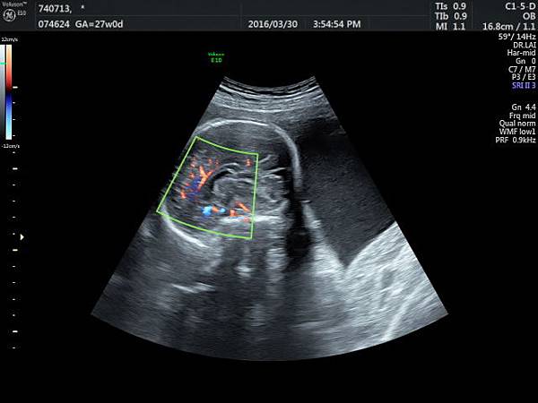
1. 矢狀切面(sagittal plane):駢胝體呈現類似三明治的中間黑色部分,上面一層薄薄白色的區域是callosum sulcus,打上flow可以看到pericallosum artery在駢胝體上面的周圍,pericallosum artery來源是前腦動脈,參考附圖 6~10,三明治下面白白的部分是和CSP做比較得到的,如果這一層長lipoma(附圖 5),CSP很可能看不到。
2. 冠狀切面(coronal plane):一般只能看到駢胝體genu 的部分,無法很完整的看整個駢胝體。
3. 要看完整的駢胝體,我的經驗是胎頭臉朝上比臉朝下好。(附圖 11~14)
執行超音波檢查時,你只能判讀你會的東西,如果你的程度不夠,即使你用最好的超音波,你還是無法看出有沒有問題,所以我覺得要做好超音波檢查,必需不斷的充實自己的知識,絕對不可以數十年如一日,一直停留在過去的時光,在胎兒腦部的領域,彰基謝聰哲醫師累積很多經驗,聽過他的演講也曾經請教他一些問題,讓我進步很多,我很感謝在我學習的路上,遇到很多貴人。
附上2016年7月28日我在診所幫一位一個半月的嬰兒照的腦部超音波,經由前囟門進入,駢胝體可以很容易的被完整看到,參考附圖15~16。















