- 8月 23 週一 202114:57
4027-12 28w PLSVC for pul vein
- 1月 12 週五 201823:12
memory 135 22 weeks PLSVC video and images c029556
- 12月 10 週日 201713:12
孕兒診所賴錫鉅醫師 180 回覆 “一位難過的媽媽” 的留言
180
回覆 “一位難過的媽媽” 的留言
2017. 12. 10.
賴錫鉅
昨晚在我的部落格第154篇文章(產前診斷持續性左側上腔靜脈 :為何我會建議做染色體基因檢查)看到一則訊息,因為這位媽媽的問題很常見,我想公開回答,讓有類似問題的媽媽能有所依循。以下是這位媽媽的留言:
「賴醫師,
您好,我的寶寶在24週時確認有PLSVC,看了您此篇文章後,決定去做羊穿與晶片,但,今日接到通知,告知晶片檢查發現胎兒第六對染色體多了些許片段,通知我在進行夫妻抽血進行篩檢確認,您文章提到,pLSVC前提是要染色體正常,請問這種情況下,是否胎兒異常率偏高了?可否請教您此染色體異常是否會有什麼影響?
ㄧ個無助難過的媽媽」
PLSVC就是持續性左側上腔靜脈 (persistent left superior vena cava):正常的上腔靜脈只在右側,左側頭頸部及左手臂的靜脈回流是經由無名靜脈流入右側上腔靜脈、再回到右心房,而持續性左側上腔靜脈就是胚胎時期的血管發展沒有跟上腳步(該退化沒退化),為何會有這些變異?合理的懷疑:發號施令的總司令是不是有問題,而總司令就是染色體基因,所以我個人認為發現心臟血管異常,首先要排除染色體基因的問題,在國外已有醫師把胎兒心臟超音波視為基因超音波(genetic ultrasound),其理論根據即為此。
我的建議如下:
如果抽羊水發現第六對染色體多了些許片段,首先夫妻兩人必須抽血做染色體基因檢查,檢查後如果證明胎兒這段多出來的片段來自夫妻其中一人,而且文獻上這段多出來的部分沒有特別臨床上的意義,理論上可以比較放心,因為已經有一個現成的參考者。
如果胎兒多出來的這一段雖然來自夫妻其中一人,但是文獻上這段多出來的部分是有問題時就比較麻煩(例如跟智力相關),因為有可能這段多出來的部分對父母沒有影響,但是對胎兒可能是有影響,這部分也是需要諮詢基因專家。
如果夫妻雙方都沒有多出這一段,就表示這一段是胎兒自己的突變,這時候就需要諮詢基因專家,看看這一段有沒有臨床上的意義,如果沒有,即使增加這一段也不會有問題,我個人的解讀是人體結構很複雜,也許妳的小孩只是比別人多一段基因。
診斷有PLSVC的個案,合併其他異常的機率約為63 %(心內約佔60%,心外約佔40%),沒有合併其他異常的單純性PLSVC(isolated PLSVC)機率是37 %,產前診斷單純性持續性左側上腔靜脈(isolated PLSVC),產後發現不是單純性(isolated PLSVC)的機率是9.1%(其中2.4 %真的無法產前診斷,6.7 %是超音波漏掉),所以產前診斷單純性持續性左側上腔靜脈(isolated PLSVC),不要講得太滿,否則會踢到鐵板。
因為不是我看診,我無法精準的回答妳是否有可能合併其他問題,我曾經遇過有孕婦問我腦室擴大(大約1 公分左右)有沒有問題,我的回答是必需我親自看過才能回答,後來我檢查時才發現胎兒腦部駢胝體沒有發育,所以超音波有沒有問題決定在操作者,單純性持續性左側上腔靜脈因為血流最終還是回到右心房,所以不會有健康的問題,可以視為正常的變異,不需要擔心;希望我的回答對妳有所幫助。
- 4月 09 週日 201714:57
孕兒診所賴錫鉅醫師 154 產前診斷持續性左側上腔靜脈(PLSVC) 為何我會建議做染色體基因檢查

154
產前診斷持續性左側上腔靜脈(PLSVC)
為何我會建議做染色體基因檢查
2017. 4. 9.
賴錫鉅
2017年3月15日33歲第一胎試管嬰兒懷孕22週3天的孕婦 、在我的診所接受胎兒心臟及高層次超音波檢查,檢查結果是單純持續性左側上腔靜脈(PLSVC),沒有合併其他異常(附圖 1~3),孕婦之前已經接受24000元的非侵入性染色體基因篩檢(NIPS),沒有異常發現,我的建議是追蹤檢查即可,如果真的很不放心,也可以考慮抽羊水做染色體及基因晶片檢查(array - CGH)。
2017年4月6日25歲第一胎自然懷孕24週1天的孕婦,在我的診所接受胎兒心臟及高層次超音波檢查,檢查結果是持續性左側上腔靜脈(PLSVC)(附圖 4~6)合併輕微三尖瓣逆流,她的四指標篩檢唐氏症和愛德華氏症都是低風險,我的建議是抽羊水做傳統染色體及基因晶片檢查,如果擔心羊穿風險,可退而求其次做NIPS檢查。
最近我讀了一篇2016年的paper(附圖 7),作者review 2708 篇和PLSVC相關的文章,收集其中的13篇文章做統計,他的結論我整理如下:
1、 持續性左側上腔靜脈(PLSVC)的機率約為3/1000~5/1000,約佔先天性心臟病的 4 %~8 %
2、 診斷有PLSVC的個案,合併其他異常的機率約為63 %(心內約佔60%,心外約佔40%),沒有合併其他異常的單純性PLSVC(isolated PLSVC)機率是37 %
3、 PLSVC合併染色體異常的機率是12.5 %(overall fetuses with PLSVC),如果是單純性持續性左側上腔靜脈(isolated PLSVC)則是7 %
4、 產前診斷單純性持續性左側上腔靜脈(isolated PLSVC),產後發現不是單純性(isolated PLSVC)的機率是9.1%(其中2.4 %真的無法產前診斷,6.7 %是超音波漏掉),所以產前診斷單純性持續性左側上腔靜脈(isolated PLSVC),不要講得太滿,否則會踢到鐵板。
5、 單純性持續性左側上腔靜脈(isolated PLSVC)的cases合併主動脈狹窄的機率是21 %,它不一定發生在22週時,所以懷孕過程需要持續追蹤,我個人的建議是懷孕30週時再追蹤一次主動脈弓的大小是否正常。
正常的上腔靜脈只在右側,左側頭頸部及左手臂的靜脈回流是經由無名靜脈流入右側上腔靜脈、再回到右心房,而持續性左側上腔靜脈就是胚胎時期的血管發展沒有跟上腳步(該退化沒退化),為何會有這些變異?合理的懷疑:發號施令的總司令是不是有問題,而總司令就是染色體基因,所以我個人認為發現心臟血管異常,首先要排除染色體基因的問題,在國外已有醫師把胎兒心臟超音波視為基因超音波(genetic ultrasound),其理論根據即為此。
這篇文章的作者也有提到一點需要去思考,所有有關於PLSVC的文章的來源大都是來自高風險的個案,因為一般人不會沒事去就醫,所以統計數字也許有高估的可能,在沒有其他更好的統計數字可以參考的情況下,我只能用這篇文章來論述,數字的背後都是苦難的家庭,我覺得對個人來說,只有0和100%的差別,統計數字是給專業的人參考而已,單純性持續性左側上腔靜脈因為血流最終還是回到右心房,所以不會有健康的問題,可以視為正常的變異,不需要擔心,但前提是沒有合併染色體基因的問題。
一路走來,很多人都是我的老師,從他們身上學到很多東西,我做了很多胎兒心臟超音波檢查,累積的是實戰經驗,但是在paper方面仍然不足,歡迎有不同見解的朋友指教。







- 4月 06 週四 201722:01
47 24 weeks isolated PLSVC
- 3月 15 週三 201722:51
39 22 weeks isolated PLSVC -2
- 3月 15 週三 201722:35
38 22 weeks isolated PLSVC -1
- 12月 08 週四 201621:36
孕兒診所備忘錄 156 persistent LSVC images and videos
711-156persistent LSVC images and videos
- 9月 25 週日 201620:36
孕兒診所賴錫鉅醫師 131 產前診斷持續性左側上腔靜脈(PLSVC)

131
產前診斷持續性左側上腔靜脈(PLSVC)
2016. 9. 21.
賴錫鉅
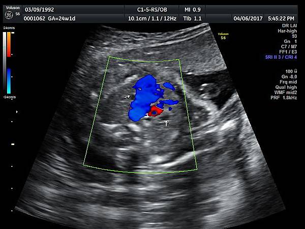
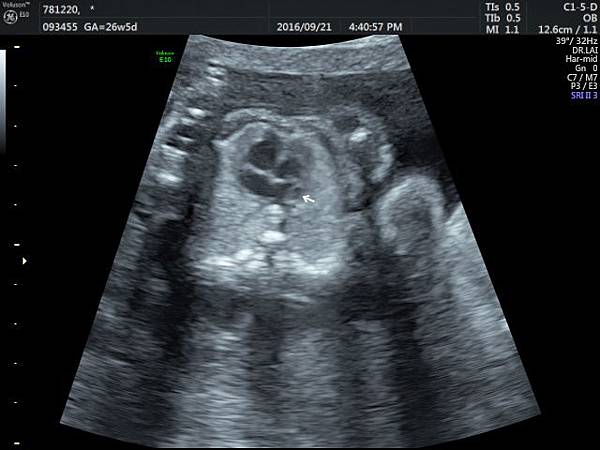
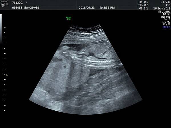
2016年9月21日幫一位懷孕26歲懷雙胞胎的孕婦看胎兒心臟超音波,孕婦目前26週,雙胞胎大小相差四週,高層次超音波除了小的胎兒臍動脈血流有問題之外,沒有其他異常發現,經過我的檢查,我的診斷是小的胎兒有持續性左側上腔靜脈(附圖1~5)。
正常情況左側的上腔靜脈在胚胎發育過程應該要退化,左側頭頸部的靜脈回流是流向右側的上腔靜脈再回到右心房,而持續性左側上腔靜脈是這條血管沒有退化繼續存在,它的血流一般會流入左心房背部的冠狀竇(coronary sinus)再經由冠狀竇回到右心房,因為最終都是回到右心房,理論上沒有什麼問題,只是為何它會不退化呢?是否有什麼因素造成它不退化這才是重點所在,所以做染色體基因檢查的理由就是找出是否有原因。
因為冠狀竇變大,超音波影像常被誤解為心房中隔缺損,兩者的預後差很多,鑑別診斷需要經驗,我常跟孕婦說,如果只給我10分鐘檢查一位胎兒,我會選擇看胎兒心臟,因為心臟就像一部車子的引擎,胎兒先天性心臟病常會合併染色體基因的問題,藉由心臟檢查,可以縮小範圍。
持續性左側上腔靜脈如果沒有合併其他異常,可以視為正常的變異,不需要任何治療,也不會有什麼特別問題,但是如何排除是否合併其他問題呢?我建議需要做染色體及基因晶片檢查,並且需要做高層次超音波排除其他器官是否異常。
有興趣的同業可以參考我的部落格備忘錄第103篇有這個 case PLSVC 的超音波影像。





- 9月 21 週三 201622:07
孕兒診所備忘錄 103 persistent left SVC
711-103persistent left SVC
