
711-396
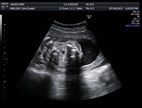
21w 6d right side cleft lip and palate and cleft uvula and brain anomaly < ACC and lissencephaly> images 3421







2017年8月12日一位22歲第二胎的孕婦在診所接受胎兒高層次及心臟超音波檢查,她說因為第一胎沒有兔唇但是顎裂,上網搜尋相關資訊所以來到診所安排檢查:她知道我會看懸雍垂(因為懸雍垂是軟顎最後形成的位置,如果看到完整懸雍垂,可以間接診斷正常的顎)
一個檢查如果要花很長的時間才能完成,這樣的檢查無法變成常規的篩檢方式,我已經在我的診所執行懸雍垂檢查一段時間,我檢查懸雍垂大約30 秒,前提是胎兒的臉最佳位置是側躺,其次是側躺偏向上,我的檢查步驟是上顎(含日後大門牙長出的位置)、舌頭、懸雍垂(= equal sign)(附圖1~8),如果超過60秒無法完成,只有兩個原因,一個是胎兒姿勢不適合或喉嚨羊水空間太小,這時候不要硬碰硬,只要先檢查其他部位,等待時機再回來即可,我的經驗是90%的cases都能順利完成這項檢查(肚皮厚的case真的是很難)。
1992年開始當住院醫師,住院醫師第一年顧守產房,我開始學用超音波估計胎兒體重,一出生馬上可以驗證自己的估計誤差有多少,為何要估體重呢?是為了預測是否能自然生產,1994年第三年住院醫師有三個月在超音波室學習高層次超音波檢查,當我學會看胎兒嘴唇時好開心,當時教我的是林明德主任、張訓銘醫師及謝淑玲小姐,想想已經過了20年,高層次檢查技術一直在進步,應該篩檢的項目也越來越多,難道做高層次檢查還要停留在過去的時光嗎?只停留在看臉部階段嗎?還是看到手腳就是高層次超音波檢查?
我知道有些院所為了商業考量,要求檢查者花很多時間去看臉的4D(如果檢查者連高層次檢查的技術還不純熟或沒進步,一昧的做3D,4D,我覺得不可取);如果要做3D、4D,我覺得有三個領域可以去發展,一個是胎兒腦部,收集胎兒腦部的volume,回家用4D view慢慢切,第二個是胎兒心臟做STIC,收集胎兒心臟動態volume,回家用4D view慢慢切,第三個是高層次超音波發現問題時再用3D收集有問題的volume,再加以研究分析,在研究異常以前,要先收集很多正常的個案累積經驗;對我個人而言,有限的時間內高層次檢查都怕做不完了……專業是一種態度也是選擇,越是專業的人,做事的底線應該越高, 我經營診所的態度是:弱水三千、只取一瓢。
有興趣的同業可以參考我的部落格備忘錄第119、120、127 及 236 這四篇,裡面有我做懸雍垂(uvula)的相關影像。
以上內容是個人經驗,不代表一般醫療水準,請勿作為訴訟依據,以免無謂困擾。







